Before and After

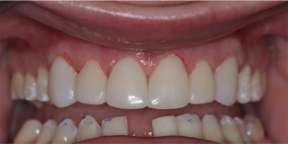
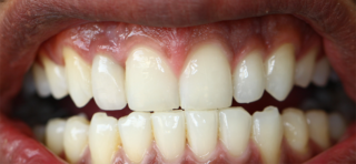
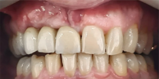
Implants and Bonding



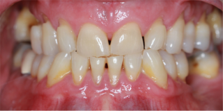
Before

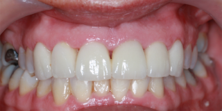
After


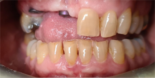
Before

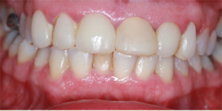
After


Before

After


Before

After


Before

After


Before

After


Before

After


Before

After




Visit Queensgate

OPENING HOURS




Get In Touch

CONTACT INFO





Get in touch

Contact us now

Come and visit our practice, we’re taking on new patients right now. All of our dentists are registered with the General Dental Council.

We are wheelchair friendly, we have disabled access and also a stair lift.


ADDRESS

Queensgate Dental Practice, 303 Colne Road, Burnley, Lancashire, BB10 1EJ



APPOINTMENTS

BY PHONE: 01282 428435
BY EMAIL: info@queensgate-dental.co.uk



Follow us

Get Social

Check out our social media.


Copyright 2018 Queensgate-dental.co.uk. All rights reserved.